
一、科室概况
昆明市儿童医院小儿骨科自2008年开启专科治疗团队建设,是省内聚焦儿童骨骼系统疾病诊疗的特色专科,在康晓鹏教授(主任医师、骨外科主任)的带领下稳步发展,多次获评医院“先进集体”荣誉称号。

团队配置专业完备:现有医护人员21名,其中主任医师1名、副主任医师4名、主治医师5名、住院医师1名、护理人员11名;团队成员含博士1名、硕士10名,人才梯队合理,临床经验扎实。同时联合康复、麻醉等多学科力量,为患儿提供全方位临床服务。
学科建设成果显著:2016年成立昆明市医学3D打印技术中心,2019年与上海交通大学联合开展脊柱矫形学科专项,成立专家工作站及脊柱矫形分中心;组建髋臼发育不良多学科诊疗与科研中心,系昆明市医学重点学科、优质护理服务示范病区,诊疗服务覆盖全省及周边地区。


二、诊疗范围
科室已发展出多个重点亚专科方向,涵盖脊柱矫形、全身关节矫正、足踝畸形矫治、手外科整形、肢体畸形重建及日常骨病等,专注为0-18岁儿童青少年提供诊疗服务:
◆ 常见疾病:各类儿童骨科常见骨折、骨病;
◆ 畸形矫治:先天性髋关节发育不良(DDH)、儿童股骨头坏死、先天性胸锁乳突肌性斜颈、先天性手畸形、多指(趾)畸形、先天性马蹄内翻足(CCF)等;
◆ 复杂手术:脊柱矫形手术、髋关节手术等复杂四肢及脊柱矫形手术。
截至目前,已累计服务成骨不全患者十余万人次,为众多骨骼系统疾病患儿提供规范诊疗。

三、特色诊疗技术
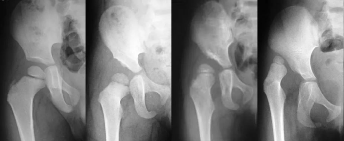
(一)先天性髋关节发育不良(DDH)诊疗
先天性髋关节发育不良是儿童常见骨关节疾病,发病率为0.9‰~3‰,女孩发病率高于男孩,病因可能与分娩方式、人种、遗传及不当包裹方式(迫使髋关节处于伸直位)相关。

诊疗原则:遵循“早诊断、早治疗”理念,出生后3个月内为最佳治疗时期,可通过非手术方式实现良好干预;

技术支撑:借助3D打印导板制导脊柱手术、髋关节手术定位及辅助术中操作,提升手术精准度。
(二)先天性马蹄内翻足(CCF)矫治
先天性马蹄内翻足是新生儿常见骨关节畸形,发生率约1/1000,疑似与基因相关。

核心技术:较早引入并推广Ponseti石膏矫形术,该技术在国内外多个小儿骨科中心应用成熟;
诊疗流程:术后需长期佩戴外固定辅具,矫正后每3-4个月门诊随访一次,持续2年,后续逐年随访至患儿8-10岁,监测治疗效果与复发情况。
(三)其他特色技术
◆ 3D打印技术应用:为脊柱、髋关节等手术提供精准定位与辅助操作支持;
◆ 复杂畸形修复:针对先天性手畸形、多指(趾)畸形等开展整形修复手术,兼顾功能恢复与外观改善;
◆ 脊柱矫形专项:依托与上海交通大学的合作优势,开展脊柱侧弯等脊柱畸形规范化诊疗。

四、公益服务与人文关怀
科室积极践行社会责任,2016年10月发起“奔跑的天使”专项诊治活动,联合华润慈善基金等单位,为特殊云南患儿免费治疗马蹄内翻足,传递医疗温暖。
在诊疗过程中,注重结合儿童生理特点制定个体化方案,护理团队秉持优质护理服务理念,为患儿及家属提供全程指导与支持,助力患儿康复。
昆明市儿童医院小儿骨科,以专业技术为核心、以多学科协作为支撑、以公益关怀为底色,守护儿童骨骼健康成长!
